Meisterhafte Insights – eine Patientengeschichte
Manchmal ist es nicht nur ein Zahn, der stört – sondern das ganze Gefühl, sich nicht mehr unbeschwert zeigen zu können.
So erging es einer 39-jährigen Patientin, die seit Jahren mit ihrer Frontzahnbrücke unzufrieden war.
„Ich traue mich nicht mehr herzlich zu lachen, weil ich mich für meine hässliche Brücke schäme“,
erzählte sie ihrem Zahnarzt. Die Patientin, die sehr auf ihr Äußeres achtet, konnte gar nicht genau sagen, was sie störte – sie spürte einfach, dass etwas „nicht stimmte“.
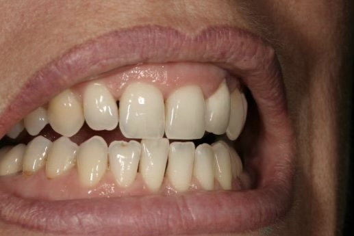
Die Ausgangssituation
Bei der Untersuchung fiel ihrem Zahnarzt sofort die ungünstige Präparation an Zahn 22 auf. Auch eine Implantation im Bereich 23 und die Auflösung der bestehenden Brückensituation hätten das eigentliche Problem – die gestörte Rot-Weiß-Ästhetik – nicht gelöst.



Der Weg zur Lösung
Auf Empfehlung des Zahnarztes wandte sich die Patientin an unser Labor. In einem ausführlichen Gespräch konnten wir gemeinsam die ästhetischen und funktionellen Herausforderungen analysieren. Schritt für Schritt entstand ein Konzept, das sowohl die Form als auch die natürliche Harmonie von Zahnfleisch und Zahnersatz berücksichtigt.
Unsere Aufgabe war es, die Balance zwischen Funktion, Farbe und Form wiederherzustellen – so, dass das Ergebnis nicht „gemacht“, sondern selbstverständlich wirkt.
Das Ergebnis
Das neue Lächeln der Patientin wirkt heute harmonisch, lebendig und authentisch. Vor allem aber: Sie kann wieder herzlich lachen, ohne sich zu schämen.
„Ich erkenne mich endlich wieder im Spiegel – und kann mein Lächeln genießen.“
Fazit
Jeder Fall erzählt eine Geschichte – und oft ist es gerade die Verbindung aus Erfahrung, Einfühlungsvermögen und handwerklicher Präzision, die den Unterschied macht.
Hier war es die enge Zusammenarbeit zwischen Zahnarzt, Patientin und Labor, die ein ästhetisch wie emotional stimmiges Ergebnis möglich machte.quam ti del coalescent lingues. Li nov lingua franca va esser plu simplic e regulari quam li existent Europan lingues.